11_usa_ocd_0_01

Year
2011
Event
-
Horse
-
Person
-
Description
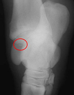
This is an example of how an OCD fragment typically looks on a radiograph. The OCD fragment seems to “float” within a defect in the main bone
Photographer
-
Code
11_usa_ocd_0_01